¡Se habla español!















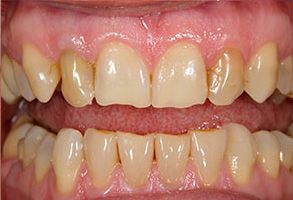
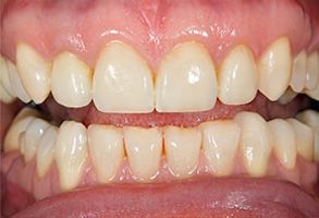
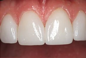
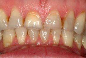
Our goal is to be your trusted partner in achieving and maintaining optimal oral health while enhancing the natural beauty of your smile. Specializing in family and cosmetic dentistry, we prioritize personalized care that caters to the unique needs of each patient.
¡Se habla español!